שילחו איחולי החלמה מהירים למנהל מרפאת השיניים בבסיס הקריה, מתן וייס המוכר לנו בעיקר ככוכב "חתונמי", שנפצע ונחבל לאחר שעבר תאונה. החתן האהוב מתן וייס, ששודך בתוכנית לגיא דלאל והם הזוג הראשון הגאה בריאליטי המצליח, נפצע ונחבל לאחר שנפל מהקורקינט. וייס הובהל למיון בית החולים איכילוב כשהוא סובל מפציעות קלות וחבלות בידיו וברגליו.

מתן וייס (צילום: צילום מסך אינסטגרם)
מתן וייס (צילום: צילום מסך אינסטגרם)


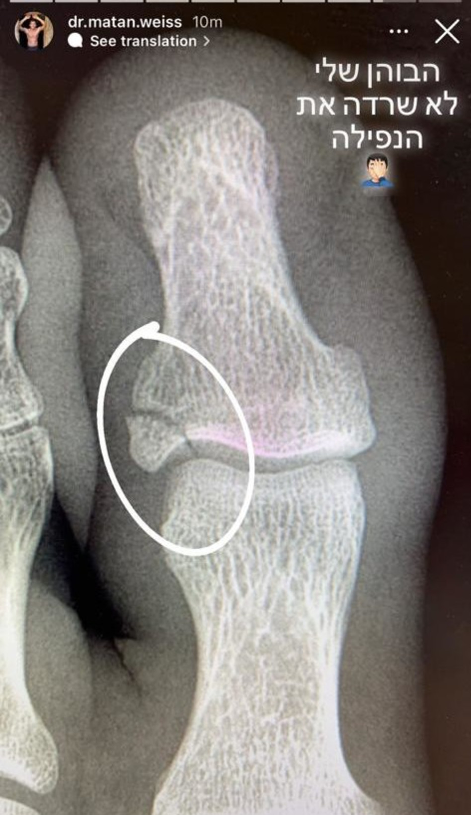
בבית החולים עבר מתן סדרת בדיקות וצילומי רנטגן ונמצא כי הוא שבר את הבוהן בכף הרגל שלו. מתן אף נבחר להיות המטופל הראשון של בית החולים איכילוב שמתנסה במערכת חדשה בה המטופל לוקח מדדים לעצמו והוא התרגש מהמחווה.

כוכב "חתונמי" נחבש ברגלו ושוחרר לביתו וקיבל גימלים (ימי מנוחה) מצה"ל. לכל המודאגים מתן מרגיע: "אני בסדר יש קצת כאבים ברגל אבל מזל שזה רק זה". אנחנו מסוקרנים לדעת אם גיא דלאל חיכה בבית כדי לטפל בפצוע. 

מתן וגיא (צילום: צילום מסך מתוך קשת 12)
מתן וגיא (צילום: צילום מסך מתוך קשת 12)